Nuevos trazadores de inflamación son pieza clave en el desarrollo de la enfermedad de Alzheimer
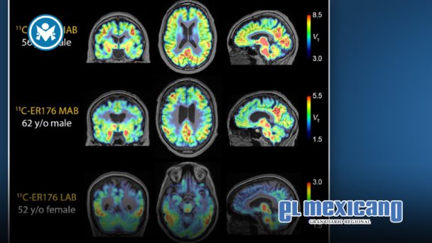
El estudio utilizó tecnología avanzada de imagen para localizar con precisión las áreas inflamadas

Un estudio innovador del Hospital Houston Methodist ha logrado un avance importante en la comprensión del Alzheimer, al demostrar una relación directa entre la inflamación en el cerebro y la progresión de la enfermedad.
La investigación, publicada recientemente en la revista Brain, y liderada por la doctora Belén Pascual, investigadora del Centro Nacional de Alzheimer Nantz del Hospital Houston Methodist, destaca cómo la inflamación cerebral se asocia estrechamente con la presencia de la proteína tau anormal —una de las principales responsables de los síntomas en pacientes con enfermedad de Alzheimer.
"La ubicación anatómica de la inflamación cerebral, en casos de demencia, no se había demostrado claramente mediante estudios de imagen hasta ahora", explica el doctor Joseph Masdeu, director del Centro Nacional de Alzheimer Nantz del Hospital Houston Methodist y reconocido investigador en demencia.
"Nuestra investigación ofrece evidencia contundente de la asociación directa entre la inflamación y las zonas específicas del cerebro que presentan degeneración, lo que mejora de manera significativa nuestra comprensión de la enfermedad".
El estudio utilizó tecnología avanzada de imagen para localizar con precisión las áreas inflamadas del cerebro, las cuales mostraron una correlación más cercana con las regiones donde se acumula la proteína tau, que con aquellas afectadas por la beta-amiloide.
Este hallazgo representa un desarrollo clave en la investigación del Alzheimer, al señalar que la inflamación podría ser un objetivo terapéutico relevante, al mismo nivel que los marcadores tradicionales como las proteínas beta-amiloide y tau.
La especificidad anatómica de los marcadores de inflamación en los estudios PET (por sus siglas en inglés) es crucial, ya que las enfermedades que causan demencia afectan distintas regiones del cerebro.
El Alzheimer, por ejemplo, suele impactar las zonas posteriores del cerebro, señala el Dr. Masdeu, mientras que otras condiciones como la demencia frontotemporal afectan principalmente las regiones anteriores.
El liderazgo del Hospital Houston Methodist en esta área queda de manifiesto en el desarrollo innovador de tecnología de imagen PET, en particular con el uso del nuevo trazador PET 11C-ER176.
A diferencia de otros trazadores PET, el 11C-ER176 permite observar la inflamación de forma eficaz en todos los tipos genéticos de pacientes.
Este trazador actúa sobre la proteína TSPO, un marcador de inflamación, lo que permite a los científicos obtener imágenes detalladas incluso en personas que antes no podían ser evaluadas debido a su perfil genético.
Además, la vida media corta del Carbono 11, el isótopo utilizado en el 11C-ER176, reduce considerablemente la exposición a la radiación en los pacientes.
El doctor Masdeu subrayó el papel esencial de la cámara de alta resolución del Hospital Houston Methodist, una herramienta de última generación sin la cual este nivel de detalle en la investigación no sería posible.
Gracias a este equipo, los investigadores pueden diferenciar con claridad qué estructuras del cerebro están afectadas por inflamación y cuáles contienen proteínas anormales. Esta distinción no podía hacerse en estudios anteriores, incluso en algunos considerados fundamentales, debido a la menor resolución de las imágenes.
"Cuando otros centros académicos de alto nivel vieron nuestros resultados con el 11C-ER176 —lo nítidas que eran las imágenes y la solidez de los hallazgos—, solicitaron nuestra ayuda para implementar esta tecnología", añade el Dr. Masdeu. "Y con gusto compartimos el conocimiento, porque mientras más instituciones la utilicen para la investigación, más pacientes con demencia se verán beneficiados".
Al poner en evidencia el papel de la inflamación, el equipo de investigación abre nuevas posibilidades terapéuticas orientadas a modular la respuesta inflamatoria. Aunque ha sido poco explorada en los tratamientos contra el Alzheimer, la inflamación ya había sido señalada como un factor clave por el doctor Stanley Appel —pionero en el estudio de la ELA, exjefe de Neurología en el Hospital Houston Methodist y director del Centro de Terapias Celulares.
Sin embargo, hay un matiz importante: la inflamación puede empeorar el daño o cumplir una función protectora, dependiendo del estadio de la enfermedad y de otros factores que aún no se comprenden del todo. Esto refleja la complejidad de desarrollar tratamientos efectivos.
Actualmente, los investigadores del Hospital Houston Methodist están llevando a cabo estudios longitudinales para entender con más precisión el papel de la inflamación a lo largo del tiempo, con el objetivo de diferenciar las respuestas protectoras de las perjudiciales.
Con su avanzada tecnología de trazadores PET y su capacidad única en imagenología, el Hospital Houston Methodist se posiciona a la vanguardia en la investigación del Alzheimer, no solo ampliando el conocimiento científico, sino también marcando el rumbo de los futuros tratamientos clínicos para esta enfermedad devastadora.



